WeCreativez WhatsApp Support
Nossa equipe de suporte ao cliente está aqui para responder às suas perguntas. Tire suas dúvidas
Olá, podemos ajudar?

Semana da Prematuridade

WhatsApp Image 2019-11-19 at 17.38.08

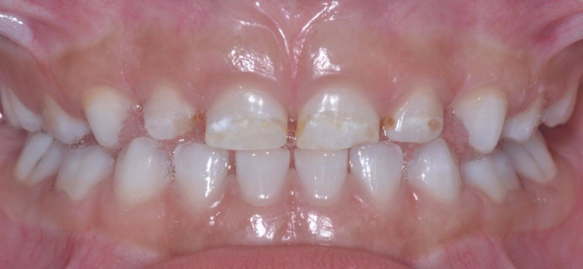
Segundo Ministério da Saúde, no Brasil, 1 a cada 10 bebês, nasce antes do período desejado, apresentando risco a inúmeras alterações de saúde decorrentes da imaturidade do seu desenvolvimento.
Do ponto de vista odontológico, uma das alterações mais comuns nos bebês prematuros são os defeitos na mineralização do esmalte dentário. Intercorrências de saúde comuns nesses bebês levam a alterações na estrutura mineral que estão em desenvolvimento durante o último trimestre gestacional. Essas alterações no esmalte do dente de leite podem ser observadas como manchas brancas (ou amareladas) e, mais severamente, os dentes podem irromper com a sua superfície irregular, apresentando cavidades.

Tais defeitos, proporcionam maior acúmulo de placa bacteriana, facilmente apresentando cáries, que progridem rapidamente.
É fundamental, portanto, que os bebês sejam acompanhados no primeiro ano de vida, assim que os primeiros dentes de leite irromperem na cavidade oral, a fim de que o Odontopediatra possa realizar um exame minucioso, estabelecendo medidas de cuidados necessárias à manutenção da saúde e qualidade de vida do bebê.